
科技日報記者 劉霞
美國華盛頓大學醫學院科學家發現,激活一種起源于大腦的特定神經通路,能快速減少小鼠全身脂肪,且無需限制飲食。相關論文發表于新一期《自然·代謝》雜志。
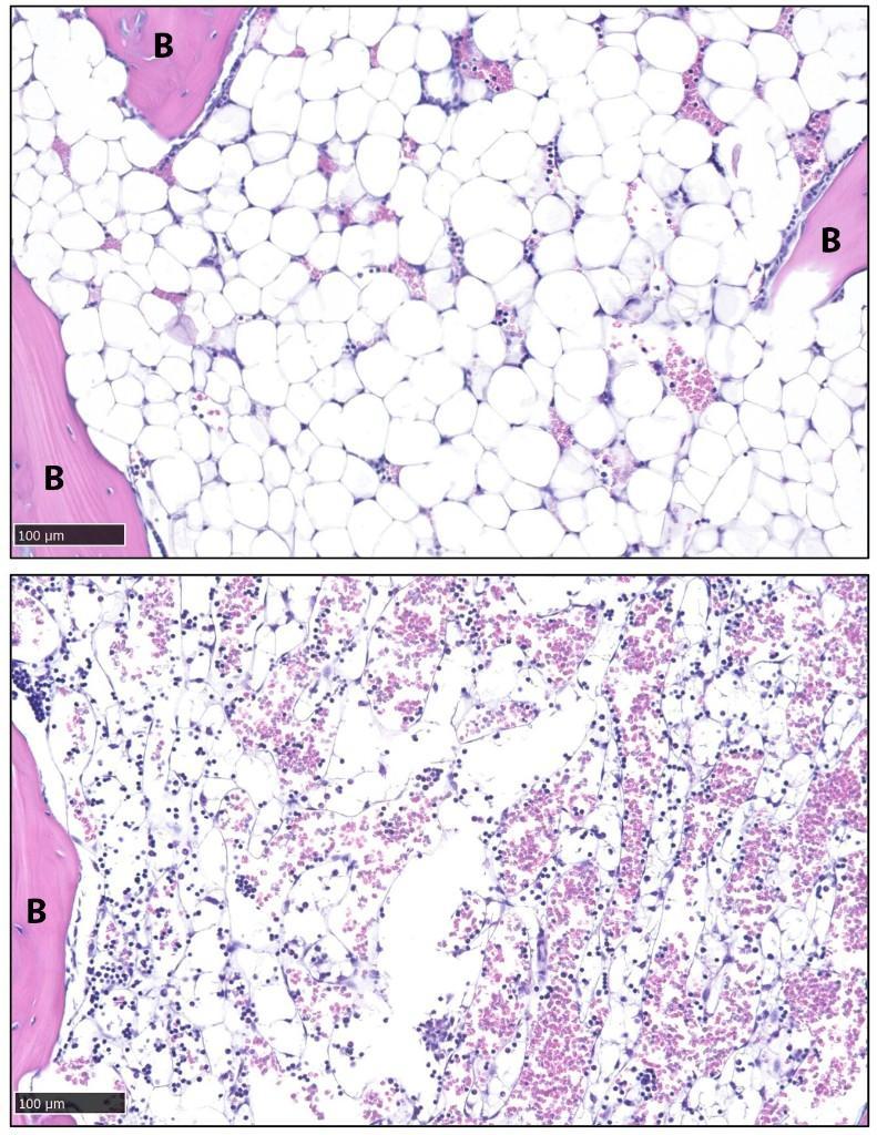
研究聚焦于骨骼中一類特殊的脂肪細胞——組成性骨髓脂肪細胞。人體約70%的骨髓被脂肪填充,這類脂肪對節食或運動幾乎毫無反應。
研究發現,這類特殊細胞會高水平表達一種抑制脂肪分解的蛋白,因而形成穩定的脂肪儲存庫,難以被常規方式消耗。團隊將其稱為“穩定的脂肪細胞”。
實驗中,團隊通過持續向小鼠腦內注射瘦素,模擬出低血糖和低胰島素狀態,成功“消解”了這些穩定的脂肪細胞。此舉削弱了脂肪分解的抑制機制,使小鼠在正常進食的情況下,全身脂肪在短短數日內顯著減少,甚至完全消失。
不過,團隊提醒這一機制極為強大,在未充分了解其風險前,不可用于人類。穩定的脂肪細胞廣泛存在于骨髓、手腳及重要腺體周圍,在嚴重消耗性疾病(如癌癥惡病質)中,這類脂肪的流失常伴隨骨折風險上升和生活質量下降。
未來,團隊希望借此機制反向探索。一方面,防止重癥患者穩定的脂肪細胞過度流失,保護其健康;另一方面,開發激活這類頑固脂肪分解的新方法,為肥胖治療帶來全新可能。